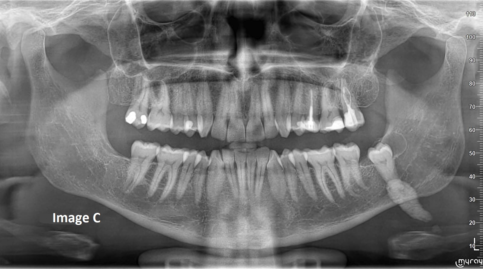
QUIZ 4QUIZ 4Which of the following would you include in your differential diagnosis? (Select one or more correct answers) Which of the following would you include in your differential diagnosis? (Select one or more correct answers)a. Compound Odontomab. Complex Odontomac. Periapical Cemento-Osseous Dysplasia d. Cemento-Ossifying Fibromae. CementoblastomaQUIZ 4Which of the following would you include in your differential diagnosis? (Select one or more correct answers) Which of the following would you include in your differential diagnosis? (Select one or more correct answers)a. Degenerative Arthritisb. Rheumatoid Arthritisc. Osteochondromad. Metastatic Tumore. Aneurysmal Bone CystQUIZ 4Describe your findings from this panoramic radiograph. Describe your findings from this panoramic radiograph.